Broadband internet can help rural communities connect – if they use it
Feb 23, 2017 07:53 am UTC| Insights & Views Technology
Being able to connect to the internet is crucial for many rural Americans. It allows them to buy goods and services that may not be available locally; market their own goods and services to a much larger area; connect...

Blizzard To Stop Support Of Windows XP And Vista For WOW, Hearthstone, And More
Feb 23, 2017 07:19 am UTC| Technology
There are still a lot of people in the world using both Windows XP and Windows Vista as the operating systems of their computers. Many of these users are playing on Blizzards many intellectual properties such as World of...

Pillars Of Eternity 2 Blasts Through Crowdfunding Goal, To Have Giant Boat For Stronghold
Feb 23, 2017 06:47 am UTC| Technology
The first Pillars of Eternity video game by Obsidian was a major financial success and its sequels crowdfunding campaign had long since surpassed its initial goal of $1.1 million. Now that the developers have more than...

One Company Promises REAL Wireless Charging
Feb 23, 2017 06:47 am UTC| Technology
Right now, wireless charging is more about not having to insert a plug into a port in order to recharge a devices battery. Rather, the device can simply be placed on a base where contact points can meet each other and...

1-Cent Chip Can Diagnose Multiple Diseases And Has 20-Minute Production Time
Feb 23, 2017 06:46 am UTC| Technology Health
Diagnosing diseases is basically the frontlines when it comes to fighting against illnesses and how effectively and efficiently this is done will affect how the rest of the battle goes. Unfortunately, diagnosis can be...

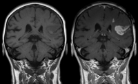
Artificial Intelligence Cuts Tumor Diagnosis Time By 90% With Near-Perfect Accuracy
Feb 23, 2017 04:14 am UTC| Technology
Diagnosis is one of the most important parts of medicine since doctors can hardly do anything to cure a patient if they dont know what the illness is. When it comes to tumors, the process is lengthy and complicated,...

Save 92% On Electricity Bill With Tesla Powerwall, From $572 To $45
Feb 23, 2017 04:13 am UTC| Technology
Even for those who are practically swimming with money, power bills are still a huge concern, particularly with large homes that have plenty of rooms and appliances. With Teslas Powerwall, this could become a much smaller...